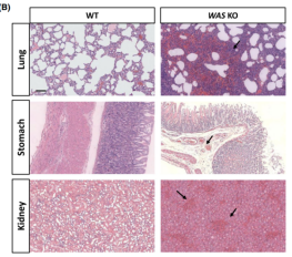
ÀµÁ¼Ñ§¡¢¡¢×ÞÇì½£ÍŶÓÏàÖú½¨ÉèÁËÊ׸öWiskott-Aldrich×ÛºÏÕ÷ÍÃÄ£×Ó£¨Í¼1£©¡£¡£¡£Wiskott-Aldrich ×ÛºÏÕ÷ÊÇÒ»ÖÖ X Á¬ËøµÄÒþÐÔÒÅ´«µÄÃâÒßÔÓÂÒ×ÛºÏÕ÷¡£¡£¡£WAS¼²²¡Ä£×ÓÍÃ׼ȷµØÄ£ÄâÁËWAS»¼Õß¶àÖֵ䷶֢״£¬£¬£¬°üÀ¨ÑªÐ¡°åÑÏÖØïÔÌ£¬£¬£¬³öѪÇãÏò£¬£¬£¬ÁܰÍϸ°ûïÔÌ£¬£¬£¬ÑÏÖØµÄѬȾºÍ½µµÍµÄÉúÑÄÆÚ¡£¡£¡£WAS¼²²¡ÍÃÄ£×ÓµÄÀֳɽ¨É轫ʹÍÃÌæ»»Ð¡Ê󣬣¬£¬³ÉΪ¸üÓÅÒìµÄWAS»úÀíÑо¿Ä£×Ó£¬£¬£¬ÎªÈËÀàWAS¼²²¡ÁÙ´²Ç°Ñо¿Ìṩһ¸öÖ÷ÒªÑо¿¹¤¾ß¡£¡£¡£


ͼ1 Wiskott-Aldrich×ÛºÏÕ÷ÍÃÄ£×Ó